Здоровье
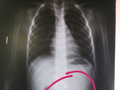
В Башкирии медики обнаружили в животе трехлетнего ребенка цепочку
Фото:Раевская ЦРБ В Башкирии медики обнаружили в животе трехлетнего ребенка цепочку.

Шесть взрослых и ребенок отравились парами хлора в Уфе
Они арендовали дом в деревне Князево с бассейном, после купания всем стало плохо, сообщает прокуратура.

Радий Хабиров поздравил медицинских работников Башкортостана с профессиональным праздником
21 июня в Уфе Глава Башкортостана Радий Хабиров выступил на торжественном собрании, посвящённом Дню медицинского работника.
В Башкирии врачи спасли 91-летнего пациента с опухолью слепой кишки
Фото:Городская больница г.Нефтекамск, Vk В городскую больницу Нефтекамска поступил 91-летний пациент с опухолью слепой кишки, обтурационной кишечной непроходимостью, жалобами на боль в животе,
Врач назвала цвета полезных для здоровья фруктов и овощей: их нужно обязательно есть хотя бы раз в неделю
В мире диетологии появился новый тренд, который может изменить наш подход к потреблению фруктов и овощей.

В уфимской больнице нашли вспышку кори
В больнице Уфы выявили случай заболевания кори В одном из отделений больницы скорой медицинской помощи в Уфе выявили случай заболевания корью.
Это снижает риск смерти на 42%: Доктор Мясников сделал важное заявление для россиян — результаты эксперимента шокировали медиков всего мира
Недавнее исследование, опубликованное в авторитетном медицинском журнале JAMA Internal Medicine, выявило удивительную взаимосвязь между ежедневным подсчетом шагов и снижением риска преждевременной смерти.
Храп мужа больше не проблема: приготовьте этот смузи и наслаждайтесь тишиной каждую ночь
Если рядом с вами ночует ураган под названием «храп партнера», пора прервать это ночное безумие.
Ботулизм: что за болезнь и как избежать заражения
Изображение от freepik Ботулизм — это острое инфекционное заболевание, вызываемое токсином бактерии Clostridium botulinum.
Башкирские лаборатории за неделю исследовали 676 клещей
Лаборатории санитарно-эпидемиологической службы в Башкирии за минувшую неделю исследовали 676 клещей.